永久歯の埋伏方向 乳歯晩期残存 岸和田 堺市 いのうえ歯科
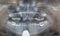
レントゲンを撮影して永久歯が思わぬ方向を向いている場合があります。
そんな場合には乳歯を早く抜歯して、永久歯の萌出を促し、永久歯の生えてくる
スペースを保つ必要があることもあります。
以下は、当院での症例です。



« デンタルインプラント 100%チタン製 平井町 国分 いのうえ歯科 | メイン | ジルコニアによる修復 光明台 三林 池田下 いのうえ歯科 »
レントゲンを撮影して永久歯が思わぬ方向を向いている場合があります。
そんな場合には乳歯を早く抜歯して、永久歯の萌出を促し、永久歯の生えてくる
スペースを保つ必要があることもあります。
以下は、当院での症例です。



このエントリーのトラックバックURL:
https://www.inoue8020.jp/cgi/mt/mt-tb.cgi/545
いのうえ歯科医院
院長 井上貴弘
【経歴】
平成6年:国立岡山大学歯学部 卒業
奈良県立医科大学口腔外科(救急科)医員
平成8年:奈良県立医科大学口腔外科 非常勤医員
堺市内歯科医院常勤勤務
平成10年:奈良県立医科大学法医学助手
堺市内同歯科医院非常勤勤務
解剖資格(法医・司法解剖)取得
平成13年:医学博士取得
(論文博士,16論文,1st author)
みやもと矯正歯科医院(育成医療指定機関)
平成14年:大阪府和泉市青葉台にて開業
奈良県立医科大学口腔外科学非常勤講師
法医学非常勤講師兼任
【所属学会・役職等】
・日本口腔外科学会
・日本口腔インプラント学会
・大阪口腔インプラント研究会
・日本矯正歯科協会
・青葉はつが野小学校校医(2、4、6年)
・元 和泉市介護認定審査委員(4年)
・日本歯科医師会
・大阪府歯科医師会
・和泉市歯科医師会理事
・奈良県警察協力医
・和泉市民健康まつり歯科医師会実行委員長